Research Biobank – Centre of Excellence for Collection of Biological Samples

Authors

Patrycja Gazinska, PhD Eng, patrycja.gazinska@port.lukasiewicz.gov.pl,

Senior Research Team Leader, Biobank Research Group and Section of the Biobank Medical Facility; The Life Sciences & Biotechnology Centre at Łukasiewicz – PORT.

Aim of the project

The primary aim of the project at the Biobank Research Group, Łukasiewicz – PORT is to establish a research biobanking platform. This will enable the acquisition and generation of biological samples, necessary for the delivery of the oncology research program with application of computational, spatial phenotyping (Fig.1) and artificial intelligence (AI). This platform will foster research collaborations with other institutions, bridging the gap between Polish research biobanking and global scientific advancements. The platform is based on: in-house generation of a normal population samples collection, acquisition of pathological samples through collaborative projects with clinicians; the implementation of cutting-edge research histopathology solutions; comprehensive IT infrastructure enabling data integration.

Secondly, integration of our research biobanking platform with the infrastructure funded by the Medical Research Agency (MRA), titled: ‘Creation and development of Regional Centres for Digital Medicine’, will put the Biobank Research Group at Łukasiewicz-PORT in a unique position with direct access to clinics.

Short description of the problem, which this project addresses

The project addresses several key problems in the field of biobanking and biomedical research. A fundamental issue is the limited access to well-characterized, properly preserved biological samples that would be available to the wider scientific community. This accessibility is essential for making progress in patient cantered biomedical research, such as our program investigating radioresistance in HNSCC (OPUS24, P. Gazinska). Additionally, the poor and technologically fragmented infrastructure does not permit comprehensive phenotyping of the samples (using spatial technologies and computational pathology), which would enhance their value in targeted research efforts. There is also a lack of interconnectivity between biobanking facilities with expertise in sample preservation and quality maintenance, and academic, research, and clinical centers. Access to clinical data, which is crucial for conducting translational research projects and gaining insights into disease mechanisms, treatment outcomes, and diverse patient populations, is another significant challenge. This problem arises from the lack of funding and awareness, which hinders the collection of biological samples as part of routine practice.

Overall, the project aims to overcome barriers related to sample access, research infrastructure, interconnectivity, and access to clinical data. This will enable more impactful and collaborative biomedical research, particularly research focused on patients’ needs.

Main results and achievements

Significant milestones have been achieved in addressing key problems on the path to becoming a centre of excellence in research biobanking. Currently, the Research Biobank holds 171,351 normal population samples. It was awarded the BBMRI-ERIC Quality Label in 2023.

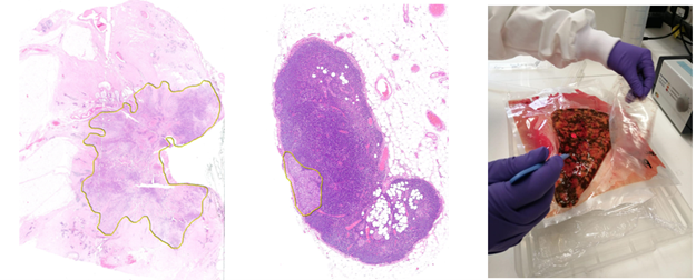
We have enhanced our research program by accelerating collaboration with clinical centres in epidemiological and translational projects. These include: Salivary Gland Tumour Network with Provincial Specialist Hospital in Wroclaw, Medical University Hospitals of Lodz, Gdansk and Poznan [1]; as well as collaboration with Lower Silesian Oncology Centre in Wroclaw and RMH, ICR and Kings College in London in breast cancer (BC) (Fig.2) research with application of AI [2,3,4].

MRA funding was secured for research advancement, clinical sample acquisition, laboratory, and IT infrastructure. Projects in consortium with:

  1. a) the 4th Military Clinical Hospital; pt: Establishment and development of an integrated system for the analysis and management of structured clinical and multiomic data, based on artificial intelligence in civilizational diseases.
  2. b) the University Clinical Hospital in Opole; pt: University Centre for Digital Medicine and Precision Medicine with specialization in complex phenotyping of civilization diseases.

Establishing partnerships with the National Walsh Biobank, The King’s Health Partners Cancer Biobank, and BBMRI-ERIC for best research biobanking practices.

Conclusions

Our project has significantly advanced biological sample collections and related research activities. Securing funding has enabled rapid development of the Biobank Research Group, ensuring safe and ethical access to clinical samples, establishing research infrastructure, enhancing interconnectivity, and improving access to clinical data.

The Biobank Research Group primarily collects formalin-fixed/paraffin-embedded oncological samples, along with samples from patients with various civilization diseases. Additionally, we are responsive to the needs of our research partners and have developed a technological pipeline for 3D organoid models from Head and Neck Squamous Cell Carcinoma (HNSCC).

We have secured funding for a state-of-the-art infrastructure in the field of research histopathology in order to conduct research program in HNSCC and BC. This includes computational pathology equipment such as digital slide scanners and image analysis systems, as well as spatial and molecular pathology solution. Additionally, we have acquired a sophisticated IT system to manage complex data effectively and securely.

Acknowledgement

  • The implementation of computational pathology and IT infrastructure was conducted with the collaboration of the Regional Digital Medicine Centre at the 4th Military Clinical Hospital in Wroclaw, Poland (Project No.2023/ABM/02/00005 – 00 Medical Research Agency).
  • The implementation of special and molecular pathology equipment was conducted with the collaboration of the Regional Digital Medicine Centre at the University Clinical Hospital in Opole in Opole, Poland (Project No.2023/ABM/02/00004-00 Medical Research Agency).
  • The research project funding for: Defining the signatures of radio-resistance in head and neck squamous cell carcinoma (HNSCC), using artificial intelligence and genomic spatial analysis. (Project No.2022/47/B/NZ4/01719 NCN, OPUS24, P. Gazinska).

Error: Contact form not found.

This will close in 0 seconds

This will close in 0 seconds